
Dr. Álvaro Melo | Especialista em Prótese Protocolo | Implantes Dentários em Barreiras
Dentista
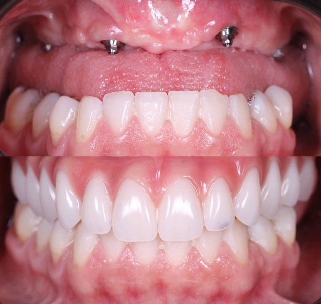
Fotos



Informações de Contato
Endereço
R. D. Pedro II, 105 - Centro, Barreiras - BA, 47800-172, Barreiras - BA
Telefone
(77) 98832-8816Site
Disponível para perfis premium
Qual procedimento você procura?
Selecione e veja dentistas disponíveis.
Avaliações do Google4.9 (4)
“Ótimo atendimento. A clínica se preocupa com o bem estar dos pacientes desde a chegada, com opções de bebidas e até mesmo escova descartável para uso antes da consulta. Os profissionais são cuidadosos e explicam todo o procedimento que está sendo realizado, o que não é comum em outros locais. Voltarei sempre!”
A experiência foi e estar sendo muito boa, as pessoas que trabalham nesse local são maravilhosas(os) e tratam todos com educação e respeito, é um lugar maravilhoso. Vale apena de estar e conviver com todos!
Eu odiei , foi bem grosseiro e sem cuidado não recomendo 👍🏾 tem melhores …
Super indico,atendimento maravilhoso e não e caro preço acessível.
Dr Álvaro é um excelente profissional super educado, empático e competente. Super indico.
Baseado em 4 avaliações do Google