
ÁS Odonto - Ortodontia e Reabilitação Oral | Floresta BH
Informações de Contato
Endereço
Av. Francisco Sales, 329 - sala 602 - Floresta, Belo Horizonte - MG, 30150-220 - "Floresta", Belo Horizonte - MG
Telefone
Disponível para perfis verificados
Site
Disponível para perfis premium
Fotos








Avaliações do Google5.0 (5)
Confesso que eu tinha pavor de dentistas, por experiências ruins anteriores ! Mas, desde a primeira vez que entrei na clínica, fui muito bem recebida e atendida! Dr Lucas e sua equipe são muito bem preparados e me senti segura e confiante. São os detalhes que te prende em algum lugar! O ambiente é acolhedor, sempre tem um café um sorriso, a cadeira tem massagem e isso com certeza deixa bem relaxada, profissionalismo, experiência e disponibilidade. Sempre que precisei retornar por algum motivo , consegui atendimento rápido para a minha necessidade, e a lavagem de mãos sempre é algo que sempre percebo, e pra mim isto é muito importante, pois é primordial este cuidado.
Profissionais extremamente competentes. Qualidade e eficiência em todos os processos. Cuidadosos, empáticos e didáticos nos procedimentos. É nítido o carinho e a dedicação pela profissão. E esse amor à profissão resvala impreterivelmente no atendimento humanizado, autêntico e memorável. Com certeza absoluta é nota mil para o atendimento da Ás Odonto. Dr. Kimberly, obrigado pelo carinho, paciência e dedicação ao meu atendimento. ❤️🥰
Realizei a extração dos 4 sisos em um único dia! Cirurgia extremamente rápida (1h 20m) e tranquila. O Pós Cirúrgico foi ótimo, não apresentando nenhum inchaço e pouquíssima dor na região, sendo todos os passos acompanhados e instruídos pela Kimberlly.
Dr Lucas bastante competente, atencioso, e o melhor de tdo é oferece um tratamento de acordo com o paciente tanto na parte da saude qto com as condiçoes sobre os pgtos Consultorio impecavel, higiene e mto carinho Sempre com mimos rsrs, eu adorei!!! Meu caso foi mto delicado pq tenho parestesia lingual e ele e dr Kimberly com uma paciencia sempre, meu tratamento teve prazo de inicio e fim Super indico e agradeço por todo carinho e cuidado
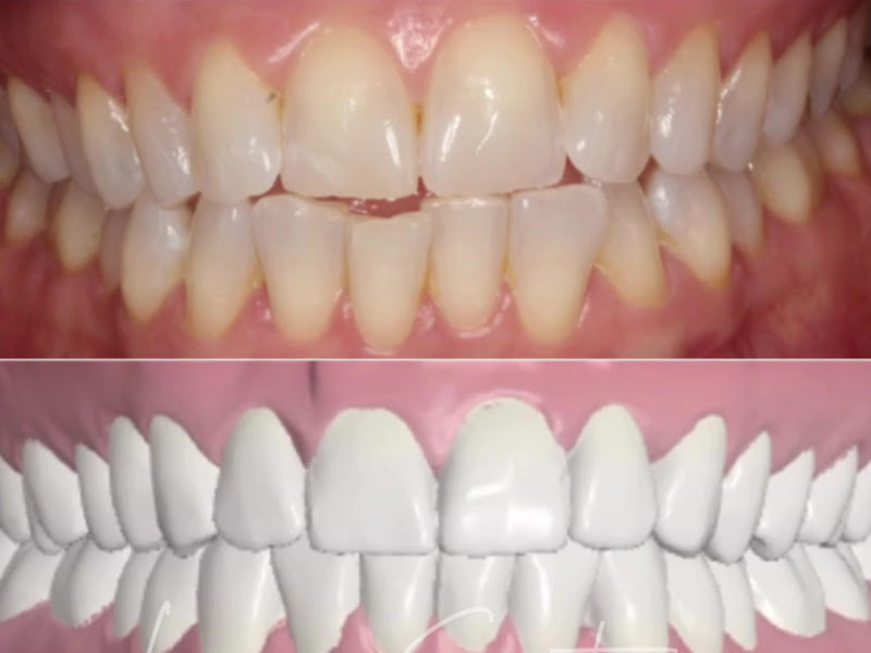
Realizo meu tratamento ortodôntico com aparelho invisível Invisalign com Dr Lucas Santana. Desde o planejamento com a tecnologia digital até os resultados foram excelentes. Recomendo