
Codente Consultórios Dentários
Dentista
CRO-MG-99615466
5.0(5 avaliações)
Clínico Geral
Nota 5.0 no Google
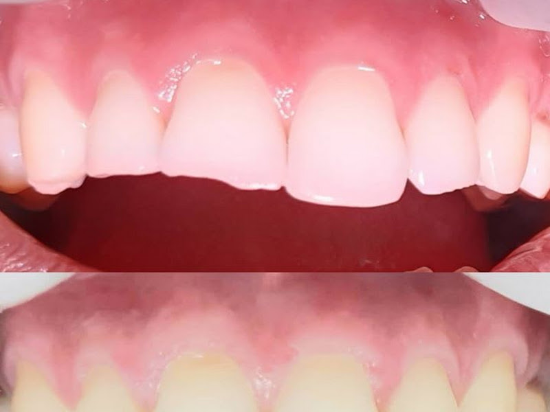
Fotos



+1 fotos
Informações de Contato
Endereço
R. Domingos Grosso, 84 - Venda Nova, Belo Horizonte - MG, 31610-100 - Venda Nova, Belo Horizonte - MG
Telefone
Disponível para perfis verificados
Encontre um dentista em Belo Horizonte
Preencha e receba contato de um especialista. Grátis e sem compromisso.
Avaliações do Google5.0 (5)
“Atendimento nota 10 Ana Secretária. Dra Ana Paula E a Moça que me atendeu quando fui efetuar o pagamento do meu serviço, que não me recordo o nome me atenderam super bem só tenho agradecer.”
Rafael Marques
Baseado em 5 avaliações do Google