
Dr. Marco Jardim
Cirurgião dentista
CRO-MG-9620BC73
5.0(5 avaliações)
Clínico Geral
Nota 5.0 no Google
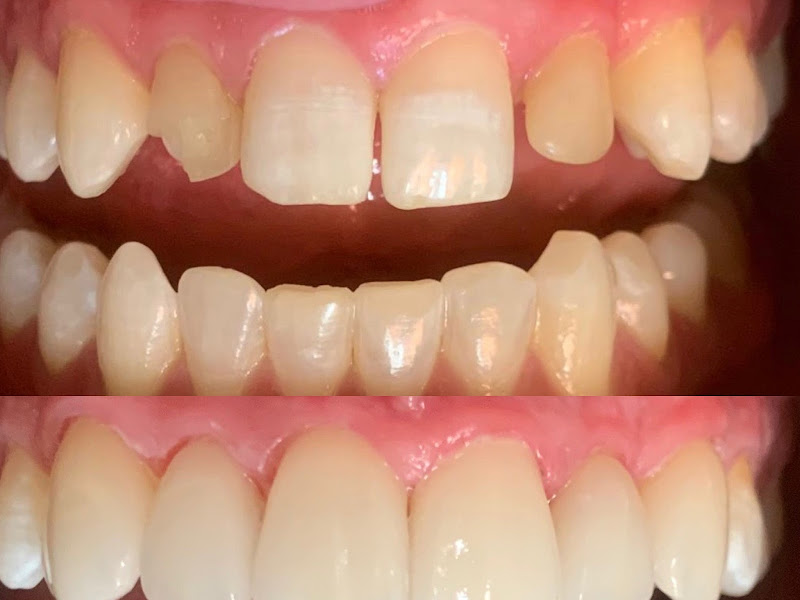
Fotos



+2 fotos
Informações de Contato
Endereço
R. Buenos Aires, 136 - Carmo, Belo Horizonte - MG, 30315-570 - Sion, Belo Horizonte - MG
Telefone
Disponível para perfis verificados
Avaliações do Google5.0 (5)
“Ótima experiência!Ambiente confortável e agradável,higienização n ota 10.Profissional excelente:educado,mt paciente,explica todo o processo do tratamento através de fotos.”
LUCI CARNEIRO
GLAUCE PRESTES
Excelente profissional, muito atencioso e pontual. Adorei!
GABRIL JARDIM ALVES
Baseado em 5 avaliações do Google