
Leandro Modesto / Odontomodesto
Dentista
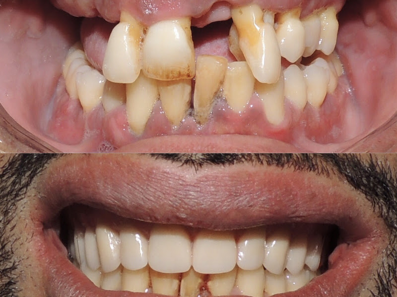
Fotos



Informações de Contato
Endereço
Rua dos Goitacazes, 103 - Centro, Belo Horizonte - MG, 30190-910 - Centro, Belo Horizonte - MG
Telefone
Disponível para perfis verificados
Encontre um dentista em Belo Horizonte
Preencha e receba contato de um especialista. Grátis e sem compromisso.
Avaliações do Google4.7 (4)
“Então, vamos lá. Eu precisava de um profissional que pudesse fazer a cirurgia de remoção de siso, até aí tudo normal. O que acontece: Eu sou uma pessoa muito ansiosa e, digamos, medroso. Comentei com a minha dentista e ela disse: Vou te recomendar alguém com quem você provavelmente vai se simpatizar. Foi aí que conheci esse profissional. Eu fui até o consultório sem nunca ter conversado com ele, e tanto o Dr. Leandro quanto toda a equipe dele foram MUITO convidativos. Além de uma pessoa que transmite muita confiança com relação as suas habilidades, ele é bem atencioso. O ambiente é muito diferente de uma clínica odontológica comum, principalmente pra pessoas com certa resistência a palavra 'dentista', é um ambiente leve e muito tranquilo. Bom, com relação a minha cirurgia: O processo cirúrgico foi completamente indolor, ele pergunta diversas vezes durante toda a cirurgia se o paciente se queixa de dor, no caso ele aplica anestesia novamente e segue com a cirurgia. Eu levei um mês desde a primeira vez que fui lá para escrever essa avaliação pra entender como seria minha recuperação e qual seria a abordagem dele consequente a isso e me surpreendi. Passei por tudo sem sofrer mais do que o necessário, seguindo as recomendações do Dr. Leandro, tive ZERO problemas com relação a remoção do siso (foram os dois do lado direito da boca), fui no dia indicado para remover os pontos e ocorreu tudo de forma tão tranquila que ali mesmo eu resolvi marcar para remover os 2 restantes, coisa que eu imaginei que daria pra trás. Enfim, um resumo sobre o atendimento, procedimento, pessoa: É um exemplo que muitos profissionais da área deveriam observar e aprender. É um cuidado que falta não só em profissionais da área como na maioria dos profissionais da saúde. Consigo reconhecer que o Dr. Modesto tem experiência e muita boa vontade e, acima disso, carinho e cuidado com seus clientes, e as moças do atendimento também não ficam pra trás, é uma equipe composta por gente interessada e competente.”
Lugar aonde minha autoestima está sendo restabelecida por meio de profissionais competentes que procuram tratar o paciente com todo cuidado e com propostas de tratamento de acordo com cada particularidades. Não posso deixar de destacar principalmente o Dr. Leandro Modesto, pessoa e profissional com conhecimento técnico e humano, além da perfeição! Só tenho a agradecer a esta equipe!
Dr Leandro é excelente no que faz, um dentista muito competente e dedicado com seus pacientes.. Fiz uma extração do siso, e apesar de todo meu medo, ele me deixou super tranquila, passou muita confiança, a cirurgia foi um sucesso e pós excelente.. Sem palavras para ele e toda sua equipe.. Atendimento mil 👏👏👏
Bom atendimento, profissionais com múltiplas experiências e serviços, meios de comunicação efetivos para entrar em contato e boa localização.
Baseado em 4 avaliações do Google