
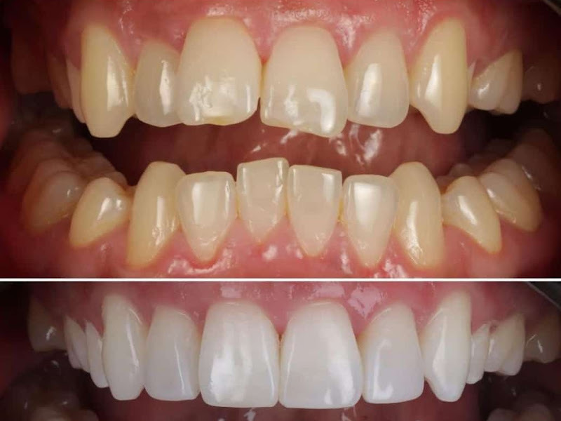
Dentista Curitiba Alethea Gradella Odontologia e Bem Estar
CRO-PR-242B6CC5
5.0(5 avaliações)
Clínico Geral
Informações de Contato
Endereço
Rua Percy Feliciano de Castilho, 311 - Bairro Alto, Curitiba - PR, 82820-380 - "Alto, Curitiba - PR
Telefone
Disponível para perfis verificados
Site
Disponível para perfis premium
Fotos










Avaliações do Google5.0 (5)
Graziele Martins
Tive uma experiência com dor de dente e fui atendida com muito carinho. Doutora Alethea uma excelente profissional. Indico
Rafael Kirsten Borba
Excelente dentista. Profissional decidida, precisa e caprichosa.
vera lucia hey santos
Excelente sempre muito bem atendida.
José Carlos de Azevedo Jr
Ana Paula Woellner Ortega