
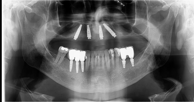
Dr Tiago Keller
Periodontia e implantes dentários
Fotos



Informações de Contato
Endereço
R. Alferes Ângelo Sampaio, 2760 - Bigorrilho, Curitiba - PR, 80730-460 - Bigorrilho, Curitiba - PR
Telefone
Disponível para perfis verificados
Avaliações do Google5.0 (5)
“Dr. Tiago excelente profissional, extremamente comprometido com seu trabalho, o faz com excelência. Um querido no seu atendimento. Meu filho tinha pânico só em falar de dentista, Dr. Tiago conseguiu quebrar esse pavor dele e hj já vai ao seu consultório sozinho e feliz. Só tenho a agradecê-lo por cuidar de nós há 8 anos sempre com o mesmo carinho e dedicação. Muito obrigado Dr. Tiago!”
Dr Tiago e dra Alana são excelentes profissionais, muito capacitados. Já extrai meus sisos com o dr Tiago e foi melhor do que imaginava, muito querido, atencioso e tira todas as dúvidas com muita paciência e calma. Atendimento especializado é com eles, indico com tranquilidade!
Tiago faz seu trabalho com muita dedicação e carinho, super esclarecedor. o seu perfil de professor nos deixa mais confiantes. A clínica em si é tudo muito bem limpo , e organizado. Super indico!!!
Uma experiência excelente! Dr. Tiago Keller um profissional extremamente dedicado e íntegro. Fez tratamentos diferentes para várias pessoas de minha família e sempre da mesma forma, com qualidade no trabalho e preço justo, a parte ser gentil e prestativo! A experiência com seu trabalho sempre supera qualquer expectativa! Sempre Grata, Iara Novaes!
Sou dentista, e escolhi o Dr. Tiago para realizar a cirurgia da minha irmã ( uma cirurgia bem complexa) pois ele é extremamente capacitado, atencioso, profissional e realmente tem uma vasta experiência em cirurgias mais delicadas. Indico esse excelente profissional pelo seu atendimento humanizado e sua capacitação.
Baseado em 5 avaliações do Google