
ALINEA ODONTOLOGIA
Informações de Contato
Endereço
Expofeira - Av. João Durval Carneiro, 3665 - 1314 - São JOÃO, Feira de Santana - BA, 44051-335, Feira de Santana - BA
Telefone
Disponível para perfis verificados
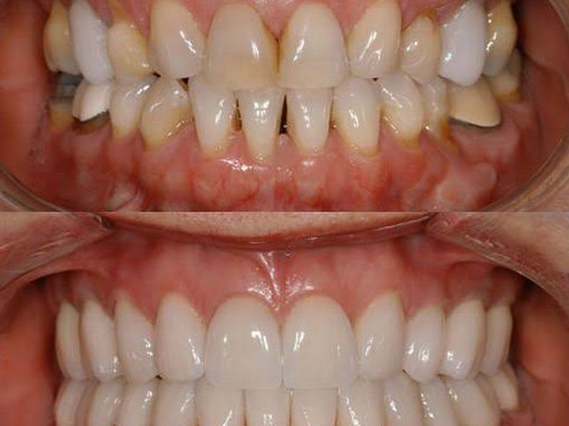
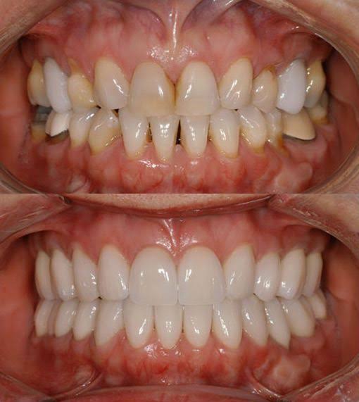
Fotos









Avaliações do Google5.0 (5)
Fiz meu tratamento dentário na Alínea e fiquei mais que satisfeita, fiquei maravilhada com a qualidade do tratamento. Ambiente agradável, profissionais preparados; cada detalhe é mais que importante. O resultado foi ver meu sorriso feliz e iluminado. Acreditem, coisa fina! Nota um milhão! Vale a pena conferir!
Das melhores possíveis! Bem acolhido, bem orientado quantos aos procedimentos, fiz o tratamento que mudou radicalmente meu sorriso para melhor. Dr. Jamerson, uma figura humano e profissional ímpar, um dos melhores do mercado, a clínica com belíssimo corpo clínico e estrutura. Sou só agradecimento.
Muito boa. Profissional competente, equipe altamente qualificada, ambiente agradável e amigável. Me sinto em casa. Recomendo a todos e todas.
Excelente, desde o primeiro atendimento, pós-cirúrgico e atenção do Dr e da equipe. Recomendo e indico.
Super indico!! Uma clínica maravilhosa, atendendo sem igual. Onde somos muito bem recebidos. Dr Jamerson arrasa.