
Dr. Augusto Câmara - Odontologia
Cirurgião dentista
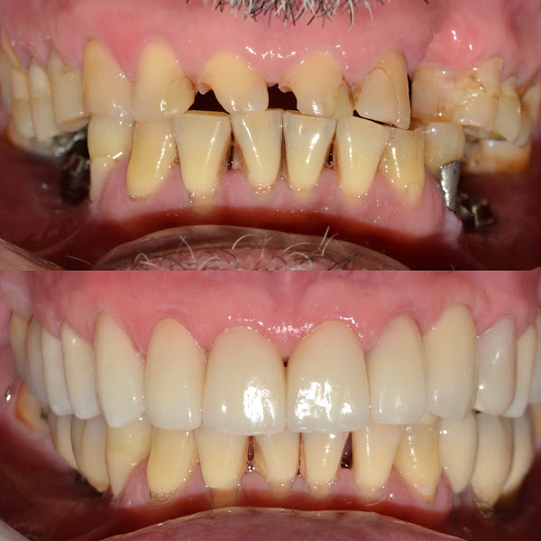
Fotos



Informações de Contato
Endereço
Pátio Dom Luis, Torre I (Business - Av. Dom Luís, 1200 - Salas 1507 e 1508 - Meireles, Fortaleza - CE, 60160-230 - Meireles, Fortaleza - CE
Telefone
(85) 98700-2807Site
Disponível para perfis premium
Qual procedimento você procura?
Selecione e veja dentistas disponíveis.
Avaliações do Google4.9 (4)
“Primeiro quero agradecer a todos envolvidos no meu tratamento odontológico a credibilidade, confiança e organização de toda a equipe do IGB, por ter me proporcionado momentos incríveis de inteiro profissionalismo, pois eu tinha um medo terrível de visitar dentistas anualmente e esse medo foi subtraído da minha vida pela qualidade técnica de todos do referido instituto, desde a minha chegada com uma recepção muito bem treinada e cordialmente feliz em nós dar um conforto e segurança, até a equipe de odontólogos transmitindo segurança e tranquilidade durante todo e qualquer procedimento, onde o medo de sentir qualquer desconto ou dor que não aconteceu em nenhum momento, através de técnicas,materiais e o cuidado de profissionais de primeiro mundo. Desde já estou muito feliz e seguro em poder voltar a ter a confiança de um sorriso tranquilo e me alimentar sem preocupação, pois todos os materiais que foram usados são de excelente qualidade, me deixando despreocupado e confiante,parabéns equipe IGB!!!”
Muito realizada em Dr Augusto ter participado de uns dos meus sonhos, minha eterna gratidão e que Deus o abençoe com o seu profissionalismo. Feliz com o meu sorriso de milhões, o tão sonhado implantes dentário!!
O Dr Augusto é um ser humano de luz, passo aqui para parabenizar o trabalho dele. Ele fez parte de um dos sonhos da minha mãe. Parabéns!! 🤍👏🏻 …
Minha experiência foi maravilhosa e muito especial, almejava muito por esse momento e me deparei com os melhores. Deus, primeiramente preparou tudo pra mim. O Dr. Augusto Câmara, é um profissional de excelência, ético e humano. Me senti bastante segura e confiante em suas mãos e, ainda com direito a show ao vivo, pois, ele fez o seu trabalho cantando super afinado, é um ótimo cantor também! Rsrs. Só sinto uma imensa gratidão. Que Deus o abençoe cada vez mais.
Excelente dentista. Atendimento e serviço perfeito com direito a cantoria. Além de trabalhar bem canta muito bem.
Baseado em 4 avaliações do Google