
Ortho Brasil - Fortaleza
CRO-CE-F46B1433
1.0(1 avaliações)
Ortodontia
Informações de Contato
Endereço
Rua General Piragibe, 365 - Parquelândia, Fortaleza - CE, 60450-200 - Parquelândia, Fortaleza - CE
Site
Disponível para perfis premium
Fotos






Avaliações do Google1.0 (1)
Larissa Santos
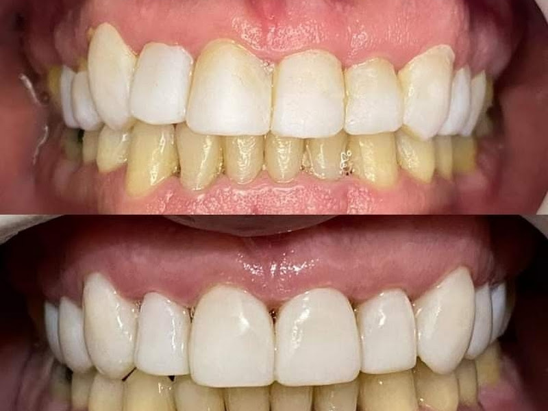
Clínica pessima, destruiriam meus dentes , coloquei minhas facetas lá , eles deixaram cheio de degraus entrando alimentos e causando mal cheiro, pedi pra remover e me reembolsarem , mais o dono se recusa , tive que recorrer ao procon
dilsp88
Horrível nao recomendo péssimo profissional