
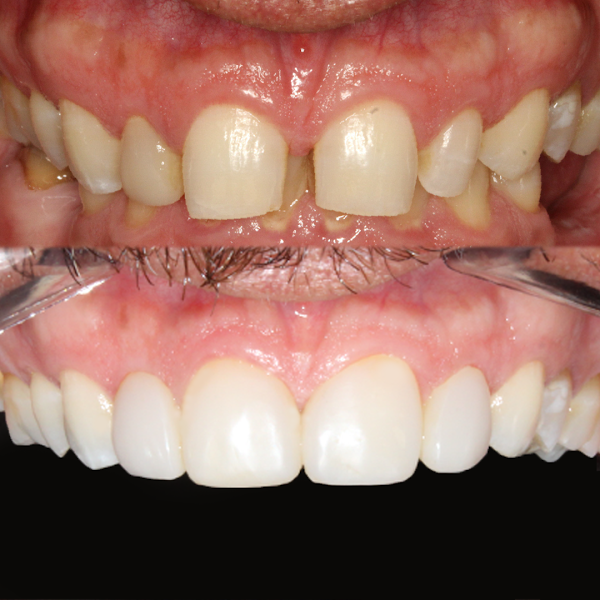
Dr Felipe Zanella - Odontologia estética - Facetas e lentes de contato
Dentista
Fotos



Informações de Contato
Endereço
R. Dr. Pedro Ferreira, 155 - sala 1611 - Centro, Itajaí - SC, 88880-000, Itajaí - SC
Telefone
(47) 98832-3541Site
Disponível para perfis premium
Qual procedimento você procura?
Selecione e veja dentistas disponíveis.
Avaliações do Google5.0 (5)
“Cheguei ao consultório por indicação, após conhecer o trabalho do Dr. Felipe com facetas de resina, e hoje entendo perfeitamente por que ele é tão recomendado. Foi uma das melhores decisões que já tomei. Estou quase finalizando meu tratamento e a experiência tem sido excelente do começo ao fim. Desde a primeira consulta me senti acolhida, respeitada e cuidada de verdade. O Felipe é um profissional excepcional, extremamente competente, cuidadoso, detalhista e muito humano. Além de dominar o que faz, é atencioso, calmo e transmite muita segurança em cada etapa do tratamento. Explica tudo com paciência e clareza, o que faz com que a gente confie plenamente no trabalho dele. Fiz clareamento e outros procedimentos e estou muito satisfeita com os resultados, que superaram minhas expectativas. Dá para perceber o quanto ele é dedicado, responsável e comprometido com a qualidade. A Sônia é um verdadeiro anjo. Sempre muito atenciosa, querida, carinhosa e preocupada com o bem-estar do paciente, ela torna o atendimento ainda mais especial. Os dois são muito queridos, extremamente educados e cuidadosos, e o carinho e a sintonia deles juntos tornam o ambiente leve, acolhedor e humano, fazendo a gente se sentir realmente bem cuidado. O consultório é impecável, organizado e transmite muita tranquilidade. Recomendo de coração para quem procura um dentista de confiança, pois todos os procedimentos realizados no consultório são excelentes, feitos com muito profissionalismo, qualidade, atenção aos detalhes e cuidado verdadeiro com o paciente. Minha enorme gratidão ao Felipe e à Sônia por todo o cuidado, carinho e dedicação!”
Tanto o Dr quanto a sua mãe sempre muito atenciosos, preocupados e solidários. Fizeram desse processo de mudança de sorriso e um momento marcante e especial. Tive o melhor serviço por um preço justo. Estou muito feliz e satisfeita.
Estou há 10 anos sendo atendido pelo Dr, e graças a Deus sempre bem atendido, recebido e bem cuidado.
O atendimento do Dr Felipe é espetacular! Atencioso, cuidadoso e extremamente profissional. Fiquei mais que feliz com meu resultado. Desde a recepção até a hora de ir embora, muito bom todo o atendimento. Me salvou com uma urgência em final de semana!! recomendo muitoooo.
Curto e direto ! “ Passando para agradecer pelo trampo impecável. Fiz implantes e lentes de resina, ficou top. O atendimento é fera e o resultado superou o que eu esperava. Quem estiver na duvida, pode ir sem medo, ambiente limpo e organizado. SUPER RECOMENDO
Baseado em 5 avaliações do Google