
Dr Ana Villela | Estética Dental e Ortodontia. Poços de Caldas
Informações de Contato
Endereço
R. Rio Grande do Sul, 1402 - Centro, Poços de Caldas - MG, 37701-001, Poços de Caldas - MG
Telefone
Disponível para perfis verificados
Site
Disponível para perfis premium
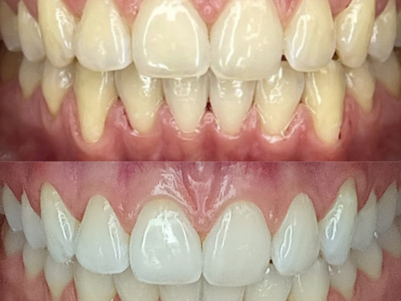
Fotos





Avaliações do Google5.0 (5)
Fui atendida com muito carinho, atenção e cuidado. A doutora Ana possui uma sensibilidade muito grande com os pacientes e me deixou completamente encantada! O serviço é extremamente caprichoso e profissional, com qualidade em cada detalhe. Sigo recomendando com muito orgulho!!
Foi excelente! A dra Ana Carolina é uma excelente dentista. Mãos delicadas, pessoa sensível, simpática, e que torna o tratamento indolor e tranquilo.
Profissional muito dedicada e atenciosa. Estou muito feliz com o meu sorriso e recomendo demais, pois o atendimento é perfeito e o resultado ficou incrível.
Tenho uma carinho muito especial com a clínica, que desde a primeira vez me acolheu . Atendimento impecável desde a recepção aos atendimentos. Dra. Ana Villela sempre em busca de novos conhecimentos, elabora protocolos individualizado com a necessidade de cada um. Me senti muito segura em ser tratada pela Dra. Ana, que exerce com excelência profissional cada detalhe. Sempre com muito respeito, cuidado preocupação e carinho com os pacientes. Super recomendo 🙌
Fiz um tratamento estético e ficou excelente. Estou muito satisfeito