
Consultório Dr Sergio Villaça
Dentista
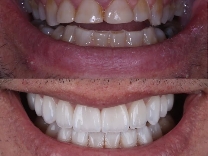
Fotos



Informações de Contato
Endereço
Av. República do Líbano, 251 - Pina, Recife - PE, 51110-160 - Pina, Recife - PE
Qual procedimento você procura?
Selecione e veja dentistas disponíveis.
Avaliações do Google5.0 (5)
“Conheci o Dr. Sérgio em 2007 e desde então ele tem sido meu dentista. Eu tinha traumas passados de dentistas e com ele me sinto muito confiante. Ele é super profissional e paciente. Hoje ele atende alguns familiares e amigos porque sempre o indico e as pessoas gostam muito dos “novos sorrisos”. Eu por exemplo, voltei a sorrir com muito mais confiança desde que iniciei meu tratamento. Super indico.”
Dr. Sergio! Profissional muito competente, me deixou confiante em nossa primeira conversa na avaliação do tratamento. E o resultado foi surpreendente, pois há anos que sonhava em conseguir um sorriso bonito e natural, e assim estou. Parabéns pelo carinho e trabalho excelente!
É um doutor super importante e excelente em istrair dentes. Ele é muito bom nessa experiência e sua carreira é excelente. EU já extrair dentes com ele e também já fez duas prótese com ele. Trabalha muito bem. Eu faço um convite a você venha e vc vai Conhecer esse belíssimo doutor com sua experiência. Desde já agradeço grande amigo.
Um excelente profissional. Muito competente e ágil nas suas tarefas. Muito educado e amigo junto aos seus pacientes. Estou deveras satisfeito do meu atendimento com o Dr. Sérgio Villaça.
Ótimo atendimento e profissional de excelência. Recomendo demais!
Baseado em 5 avaliações do Google