
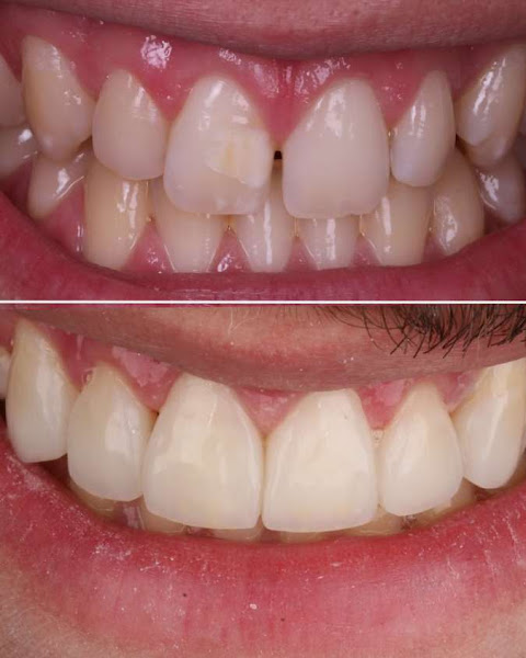
Dr. Gustavo Duarte - Especialista em Lentes e Facetas de Resina | Recife - PE
Informações de Contato
Endereço
R. Guilherme Pinto, 146 - sala 11 - Graças, Recife - PE, 50050-290 - "Graças", Recife - PE
Telefone
Disponível para perfis verificados
Site
Disponível para perfis premium
Fotos






Avaliações do Google5.0 (5)
Ótimo profissional! Tenho uma neta de 7 anos, que só quer ser atendida por Dr. Gustavo. Ela dica torcendo para o dente ficar mole. Super indico.
Muito boa a experiência que eu tive de perto sendo acompanhado pelo profissional nota mil. Gustavo Duarte e sua equipe totalmente qualicada. No meu caso houve restauração, limpeza e manutenção na parte da estética, que logo em breve estarei realizando o implante.
Foi muito bom, não tinha uma autoestima tão legal relacionada ao meu sorriso e Dr.Gustavo mudou isso! Sou grato demais pelo trabalho dele. Confio de olhos fechados!
Atendimento espetacular! Resultado nem se fala! Dr Gustavo faz questão de entender todas as suas necessidades e objetivos para entregar o melhor resultado possível!
Sensacional! Desde o primeiro contato ja da pra notar o cuidado com o paciente, o planejamento é muito bem feito e o processo extremamente detalhado. Fiquei muito feliz com o resultado da minha resina, melhor impossivel!