
Dr. Ulysses Vianna - Lentes em resina e Harmonização Facial
Dentista
CRO-RJ-EECAAF75
Dentística
Harmonização Orofacial
2 especialidades
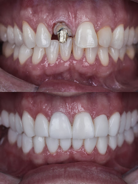
Fotos



+4 fotos
Informações de Contato
Endereço
Av. João Cabral de Mello Neto, 850 - bl 3 / sala 1618 - Barra da Tijuca, Rio de Janeiro - RJ, 22775-057 - Barros Filho, Rio de Janeiro - RJ
Telefone
Disponível para perfis verificados