
Oral Concept Salvador
Informações de Contato
Endereço
International Trade Center - Rua Arthur de Azevêdo Machado, 1459 - Sala 1807 - STIEP, Salvador - BA, 41770-790 - "Costa, Salvador - BA
Telefone
Disponível para perfis verificados
Site
Disponível para perfis premium
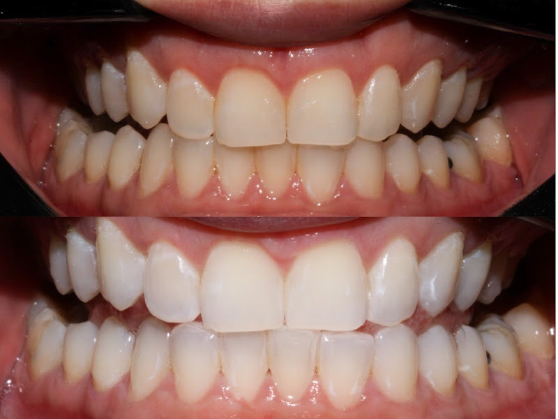
Fotos











Avaliações do Google5.0 (5)
Atendimento maravilhoso. Desde o primeiro contato até o pós atendimento. A recepção personalizada, as meninas super atenciosas e gentis. Dra Viviane muito competente, explicou em detalhes todas as etapas do processo. Super satisfeita e feliz de poder ser cuidada por ela!
A clínica é um encanto! Ambiente leve, aconchegante e super agradável. Totalmente fora do perfil tradicional e tenebroso de consultório odontológico. Na recepção podemos tomar um chá, um café ou água de coco, enquanto aguardamos, por muito pouco tempo, ser chamada. Na sala da dentista, enquanto somos atendidas podemos escutar uma boa música para relaxar ou terminar aquela série da Netflix. A tela no teto te permite acompanhar tudo com conforto. Tudo isso, deitada em uma cadeira massageadora ultra confortável. A equipe de atendimento é maravilhosa, as meninas são atenciosas, diligentes e muito simpáticas. Dra Viviane é um amor de pessoa, além de uma excelente profissional. Super inteligente, prática, atenciosa, ela te deixa bem a vontade durante todo o procedimento. Ela explica com clareza tudo que será feito e tudo que está sendo feito. A melhor dentista da cidade. Já sou paciente há alguns anos e super recomendo a clínica Oral Concept . Parabéns a todas!!!👏🏽👏🏽👏🏽
O local é aconchegante, minha experiência foi muito boa. Nem parece que vc está em um consultório... o conforto do paciente está em primeiro lugar! A água morninha então... um mimo e tanto! Profissionais diferenciadas, atendimento muito bom, e a dentista Viviane é muito atenciosa! Respeitou muito meu (baixo) limite pra dor, me consultava o tempo inteiro sobre o avanço no procedimento e foi de um respeito imenso com meus traumas...rs. Recomendo demais!
Excelente experiência e atendimento. Local com estacionamento e ambiente acolhedor.
Vocês são diferenciados, e merecem uma constelação inteira!! Desde o acolhimento das atenciosas secretárias na recepção até o atendimento da Dra Viviane, demais profissionais e suas assistentes, eu me sinto especial e muito bem cuidada na Oral Concept. Receber um atendimento totalmente personalizado, ter a melhor experiência em conforto, segurança e o melhor serviço de odonto, tudo isso permeado pelo carinho da equipe me fidelizou há alguns anos. Obrigada Dra "Vivi", por nos proporcionar essa Clínica incrível. Sua competência e seu carisma são bênçãos para nós, que somos seus pacientes. Um abraço grande para toda a equipe.