
Dr. Arya Edalat
Informações de Contato
Endereço
Shopping Pátio Iporanga, Av. Ana Costa, 471 - Sala 612 - Gonzaga, Santos - SP, 11060-300, Santos - SP
Telefone
Disponível para perfis verificados
Site
Disponível para perfis premium
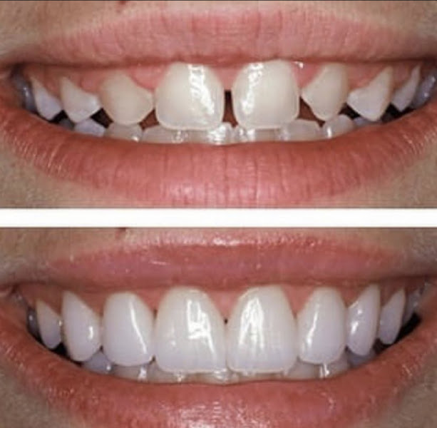
Fotos









Avaliações do Google4.8 (4)
Excelente Fiz um tratamento de canal e a colocação de coroa com o Dr. Ali e o resultado ficou simplesmente impecável! A equipe é extremamente atenciosa, paciente e sempre disposta a ajudar. O Dr é muito cuidadoso, explica cada etapa do procedimento com clareza e realiza todos os exames necessários antes de iniciar o tratamento, o que transmite muita confiança e profissionalismo. Recomendo de olhos fechados!
Profissional Arya é didático e atencioso. A profissional Marina - ortodontista - é competente e tem feito um belo trabalho com o meu filho de 12 anos. O pessoal da secretaria é simpático, gentil e eficientes. Enfim, farei meu tratamento de coroas frontais com eles. Custo benefício é outro fator bem relevante.
Minha experiência foi ótima!!!!! Atendimento excelente do começo ao fim. O Dr. Arya é um profissional muito capacitado, foi super explicativo, paciente, pontual e resolveu minha questão super rápido e sem enganação!! Realmente gostei muito e agora não largo mais! Super recomendo.
Melhor custo-benefício em Santos, preços justos por um serviço de alta qualidade. O Dr. Arya trouxe o sistema odontológico completo dos Estados Unidos para Santos e eu nunca experimentei um tratamento odontológico tão excepcional! Já consultei vários dentistas de renome aqui em Santos para substituir meus dentes perdidos e todos recomendaram implantes, que precisavam de enxertos ósseos. Tratamentos caros e dolorosos, e eu não queria fazer nenhuma cirurgia. O Dr. Arya foi o único dentista que recomendou uma opção melhor para substituir meus dentes perdidos sem a necessidade de cirurgia de implante. Usando meus próprios dentes para substituir os dentes perdidos. Não só substituí meus dentes perdidos, como também tornei meus dentes existentes, que estavam descoloridos por grandes restaurações, mais bonitos e fortes com coroas de cerâmica tão bonitas quanto as Lentes.
Dr. ARYA Gostaria de expressar minha profunda gratidão e admiração pelo seu trabalho incrível. O tratamento para a minha coroa foi impecável. Fiquei muito impressionado com sua habilidade de realizar o procedimento sem a necessidade de um pino, o que mostra seu alto nível de conhecimento e precisão. O resultado superou todas as minhas expectativas, e a experiência foi muito mais tranquila do que eu imaginava. :)