
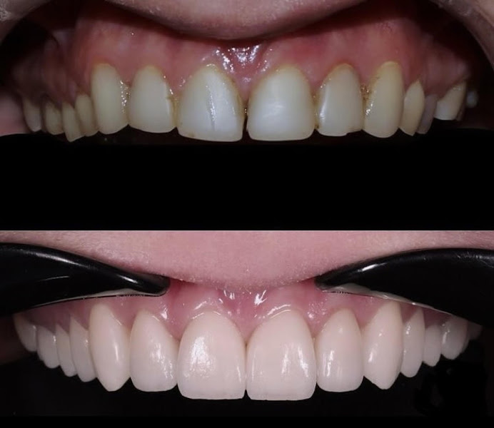
Barra Space Dental / Reabilitação Oral & Harmonização Orofacial
Informações de Contato
Endereço
Av. Olegário Maciel, 511 - Barra da Tijuca, Rio de Janeiro - RJ, 22621-200 - "Rio, São Paulo - SP
Telefone
Disponível para perfis verificados
Fotos







Avaliações do Google3.4 (3)
Meu primeiro atendimento e já foi péssimo! Compromisso com horário passa longe deste lugar! Chego ao local às 10h50 para consulta marcada às 11h. A atendente até que foi simpática, porém em nenhum instante me foi dito o motivo do atraso. Às 11h35 fui embora para não ter que ser desairoso.
Não tive experiência alguma. Minha consulta estava marcada para às 11hrs. O horário deu 11:30 e ainda tinham 2 pessoas na minha frente. Falta de respeito total! Não voltarei.
Excelente profissional! Atendimento rápido e eficiente . Recomendo!
Dr Pedro é top. Muito bom! Excelente tratamento e acolhimento. Compromisso total com horario
Excelente atendimento. Profissionais qualificados. Dra Karla acompanha meu tratamento. Só tenho a agradecer.