
DRA. VANESSA NEVES - ODONTOLOGIA ESPECIALIZADA
Informações de Contato
Endereço
R. Min. Luiz Gallotti, 216 - Brooklin, São Paulo - SP, 04580-050 - "Brooklin", São Paulo - SP
Telefone
Disponível para perfis verificados
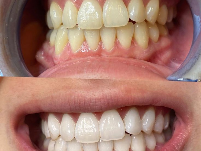
Fotos











Avaliações do Google5.0 (5)
A Dra. Vanessa é simplesmente incrível! Super competente, cuidadosa em cada detalhe e extremamente atenciosa. Desde o primeiro atendimento, me senti seguro e bem acolhido. Dá pra ver que ela realmente se importa com o bem-estar do paciente. Recomendo de olhos fechados!
Meu caso é bem delicado e graças a Deeeeeeus encontrei a Dra. Vanessa. Eu estou em processo de tracionamento de um canino aos 28 anos, ou seja, estou sem um dente da frente. A Dra. Vanessa é a terceira profissional por quem passo, e decidi que será a última porque encontrei nela tudo o que eu precisava: um atendimento verdadeiramente humanizado, cheio de cuidado e empatia. Os esclarecimentos que ela me deu foram fundamentais para eu entender o tratamento. Além disso, ela fez uma limpeza nos meus dentes que eu nunca tinha visto igual! Foi tão caprichada que meu marido até achou que eu tinha feito um clareamento. Ele também ficou super feliz com o dente provisório que a Dra. fez pra mim, devolveu a minha alegria de sorrir, depois de três anos me sentindo constrangida. Agora estou me preparando para retirar os quatro sisos, mas estou tranquila, pois confio totalmente na Dra. Vanessa. Ela é uma profissional extremamente competente, atenciosa e faz tudo com muito amor, o que hoje em dia faz toda a diferença. Cuidar da saúde bucal é também cuidar da autoestima, da alegria de sorrir e até do nosso emocional, e ela faz tudo isso de forma impecável! Estou muito esperançosa e feliz com meu tratamento!
A Dra. Vanessa é sensacional! Além de ser super profissional, ela é muito gente boa. Durante as consultas, sempre explica tudo, e o trabalho dela é impecável. Recomendo demais pra quem quer um dentista top! 👏 …
Eu tive a sorte de ser atendida pela Dra. Vanessa e não poderia estar mais satisfeita com o cuidado e profissionalismo que recebi. Desde a recepção até o momento do atendimento, tudo foi impecável. Dra. Vanessa é extremamente atenciosa, dedicada e possui uma habilidade incrível para fazer com que seus pacientes se sintam à vontade. Durante todo o tratamento, ela explicou cada passo com clareza, o que me deixou muito confiante. Além disso, a higiene do consultório é excepcional. Recomendo a Dra. Vanessa a todos que buscam um atendimento odontológico de qualidade e um cuidado realmente diferenciado. Sem dúvida, uma das melhores experiências que já tive com um dentista!
Fiz todo o meu tratamento odontológico com a Dra. Vanessa! Atendimento sem igual desde o primeiro dia… Profissional excelente e muito calma (o que facilita e muito a parte mental de quaisquer paciente) Pude extrair a pouco dois sisos, não senti dor, meu pós foi e está sendo maravilhoso, e nem sequer eu inchei! Mesmo tendo muito medo e ansiedade sobre este procedimento, a doutora Vanessa me passou a segurança e calma que eu precisava para realizar qualquer procedimento. Sou muito grata e indico de olhos fechados!