
Duall Odonto - Estética & Saúde
Informações de Contato
Endereço
Edifício South América - Centro Metropolitano - R. Sérgio Buarque de Holanda, 605 - Bloco C - sala 499D - Barra Olímpica, Rio de Janeiro - RJ, 22775-031 - "Santo, São Paulo - SP
Telefone
Disponível para perfis verificados
Site
Disponível para perfis premium
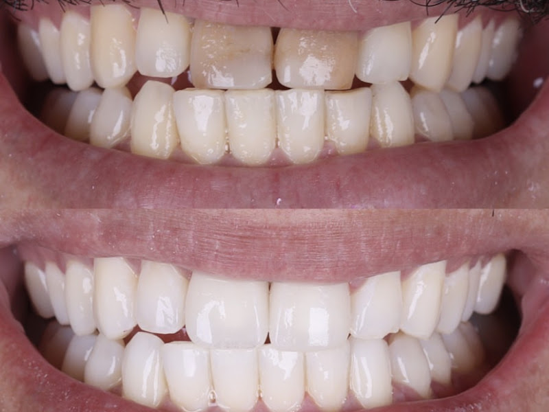
Fotos









Avaliações do Google5.0 (5)
Atendimento impecável, profissionais altamente qualificados e um ambiente moderno e acolhedor. A equipe transmite confiança, dedicação e carinho, tornando cada consulta tranquila e segura. Uma clínica que realmente se destaca pela excelência e pelo compromisso com a saúde bucal.
A melhor experiência possível! Atendimento impecável e humano. A Dra Rhayane é muuuitoo carinhosa! Meu bebê fez frenectomia com 4 dias de vida e ela foi muito atenciosa com a gente. Me acolheu demais com todas as questões que eu estava passando na época.
Consultório lindo confortável. Dra, Rayane, Dr. Daniel e Dra. Kamila são ótimos, competentes e bem humorados. Recepção calorosa, esclarece tudo com clareza. Eu realmente indico para adultos e inclusive crianças. Parabéns a todos da clínica muito satisfeita e feliz com o tratamento que vocês me deram.
Atendimento maravilhoso, tanto da recepcionista Adriana, quanto da Dra Rhayany! Nos sentimos completamente à vontade. O consultório também é lindo e aconchegante. Me sinto grata por terem tratado o meu filho tão bem. Desejo muito sucesso!
Minha esposa e eu gostaríamos de agradecer a toda a equipe da Duall Odonto, foram super acolhedores com o nosso filho, senti muita segurança no atendimento, são super profissionais. Parabéns em especial a Dra. Kamila por sua empatia e seu talento de cuidar muito bem das crianças.