
Odonto Vila Olimpia
Informações de Contato
Endereço
Edifício The Manager - R. Helena, 280 - Cj 407 - Vila Olímpia, São Paulo - SP, 04552-050 - Vila Olímpia, São Paulo - SP
Telefone
Disponível para perfis verificados
Fotos





Avaliações do Google3.7 (3)
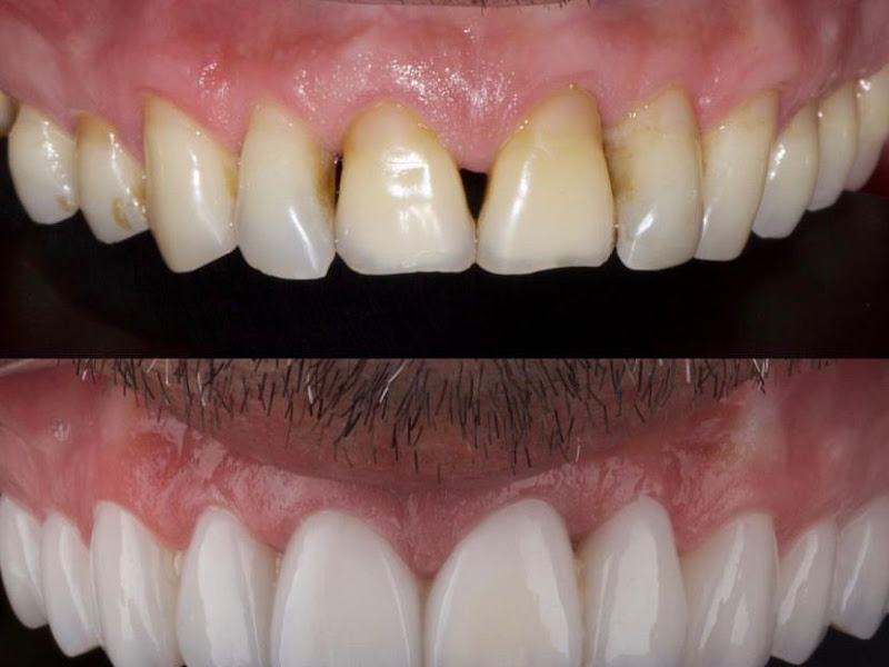
Demorei muito tempo pra ter coragem de falar sobre esse trauma que vivi. Em Agosto/2023 procurei a clinica para trocar as resinas dos dois dentes da frente , pois as resinas já tinham 4 anos não estavam 100% e eu ia casar em setembro/2023 e fazer algumas fotos em Paris e queria estar com o sorriso lindo. E foi assim que meu pesadelo começou, no dia de trocar as resinas não tomei anestesia e por ser uma dor suportável eu não estranhei. Assim que me vi no espelho percebi que a cor da resina era amarelada questionei e a doutora me informou que fez de acordo com a cor dos dentes de baixo que nem aparecem quando dou um sorriso até aí eu aceitei e deixei pra lá. Comecei a sentir um incômodo ao falar , voltei para arrumar e depois faltando 4 dias para me casar eu estava conversando em um almoço de familia e a resina quebrou, mais uma vez voltei(segunda-feira) pq na quarta-feira seria o meu casamento E no 29 de setembro de 2023(sexta-feira) eu estava na frança e a resina quebrou e fiquei sem mais da metade da resina e consequentemente sem "o dente", passei a minha lua de mel chorando e desesperada !!! Todas as fotos da minha viagem eu não pude sorrir , chorei em diversos momentos e até hoje quando vejo as fotos eu choro de tristeza.
Tive uma experiência muito ruim. Passei por duas ortos dessa clínica: em uma fiquei 9 meses (ela acabou se ausentando por problemas de saúde) e com a outra fiquei 7 meses. Nem uma delas corrigiu a minha mordida. Devido a tanta movimentação desnecessária, descobri recentemente que estou com perda óssea na arcada inferior e que meu aparelho havia sido mal colocado, a resina estava pra dentro das minhas gengivas, que estavam super expostas.
Atendimento excelente, hoje eu e meus dois filhos tivemos a honra de sermos, atendidos pela Doutora Camila Sanseverino e Doutora Thais Sanseverino super atenciosas tivemos atendimento VIP, desde a recepção até o atendimento odontológico super indico. E parabéns Doutoras pela atenção.
Muito satisfeita com o atendimento desde a recepção até prestação de serviço feita pela Dr.Priscila em específico. Dr.Priscila fornece um ótimo atendimento, qualidade e grande simpatia.
O atendimento na recepção é bom porém não tem uma consulta que eles atendam no horário correto. Cheguei a ficar 1 hora esperando ser atendida e cheguei com antecedência.